Cirugía de Reemplazo de Rodilla en Monterrey
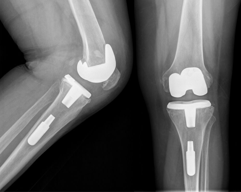
La cirugía de reemplazo de rodilla, también conocida como artroplastía de rodilla, consiste en sustituir las superficies articulares dañadas por componentes protésicos diseñados para aliviar el dolor y mejorar la función.
¿Qué es un reemplazo de rodilla?
Es un procedimiento en el que se retiran las superficies dañadas del fémur, tibia y, en algunos casos, la rótula, para colocar implantes que permiten un movimiento más suave y menos doloroso.
¿Cuándo se recomienda un reemplazo de rodilla?
Artrosis avanzada de rodilla
Dolor crónico que limita actividades diarias
Rigidez importante de la articulación
Deformidades progresivas (piernas arqueadas)
Falta de respuesta a tratamientos
Limitación en actividades básicas
Objetivos de la prótesis de rodilla
Disminuir el dolor
Mejorar la movilidad
Recuperar la capacidad para actividades cotidianas como caminar o subir escaleras
El objetivo principal es mejorar la calidad de vida cuando otros tratamientos no han sido suficientes.
Recuperación después de un reemplazo de rodilla
La recuperación es progresiva y requiere rehabilitación estructurada. El proceso incluye control del dolor, movilización temprana y fortalecimiento muscular para recuperar estabilidad y función.
¿Cuándo consultar a un especialista en rodilla?
Antes de indicar una prótesis de rodilla se realiza exploración física, radiografías y, en algunos casos, resonancia magnética. También se revisan enfermedades asociadas y expectativas del paciente para elegir el tratamiento más adecuado.
Post Recientes
Agenda tu cita Ahora
Tu salud es mi prioridad, medicina y tecnología de vanguardia a tu servicio